top of page

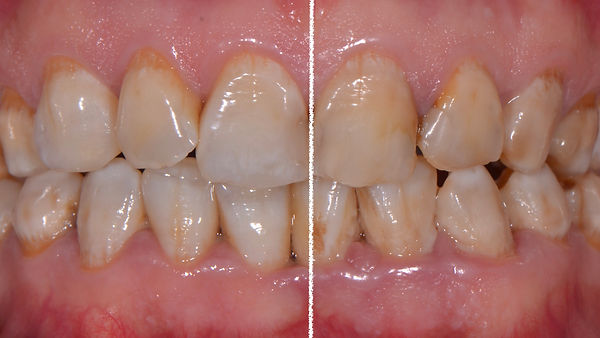
Les éclaircissements des dents pulpées
La demande de nos patients de prise en charge de leurs sourire est en augmentation.
L'OMS définie la santé comme un état de bien être physique, psychique et mental. Prendre en charge cette souffrance revient à améliorer la vie et l'équilibre psychologique de nos patients.
Un éclaircissement n'est pas seulement un blanchiment cosmétique mais une réelle solution face à des colorations dentaires pathologiques.





- Indications
- Choix des produits et techniques
- Gestion des sensibilités
- Comment prévoir les résultats



Les éclaircissements des dents dépulpées

Le préjudice esthétique d'une dyschromie isolée d'une dent dépulpée est majeur.
Les patients décrivent un véritable complexe dans leur vie sociale et professionnelle.
Quel conduite à tenir depuis l'interdiction du perborate de sodium?
Comment choisir la technique la mieux adaptée à son patient?

Prise en charge des Taches Blanches
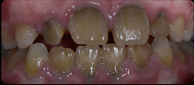
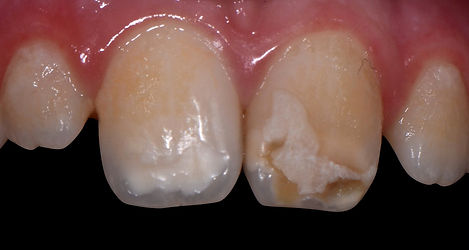
Les taches blanches sont des lésions d'hypominéralisation de l'émail soit d'origine carieuse, fluorose, lésion traumatique, ou d'un syndrome de MIH.
Les MIH sont des affection croissantes touchant 25% des enfant et entrainant des risque carieux important pouvant entrainer la perte prématurée des dents.

Mieux comprendre pour mieux agir
Savoir diagnostiquer simplement l'origine de la lésion pour adapter son protocole clinique.
Les clefs de la réussite
Toutes les astuces pour réussir ses traitements.
Un TP pour appréhender au mieux les protocoles.



bottom of page


